Facial Cosmetic Surgery
Eyelid changes are noticed earlier than most places on your face. These changes can occur very early and the lower lids may show these changes quite early. The puffy and droopy eyelids can make you look tired. Eyelid surgery can refresh your look. While the surgery will only help your eyelids, it can certainly offer a more rested and bright look. Upper and lower eyelid surgery can be done at the same time or separately.
Case 1
/DSC_0065.jpg)
/DSC_0076.jpg)
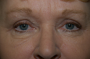
Case 2


Case 3
Upper and Lower Eyelids
/DSC_0033.jpg)
/DSC_0021.jpg)
Case 4
Upper and Lower Eyelids
/DSC_0047.jpg)
/Copy of DSC_0079.jpg)
Case 5


Case 6
Upper and Lower Eyelid Surgery
/006.jpg)
/031.jpg)
Case 7
Blepharoplasty and repair of congenital ptosis (eyelid dysfunction)
/045.jpg)
/005.jpg)